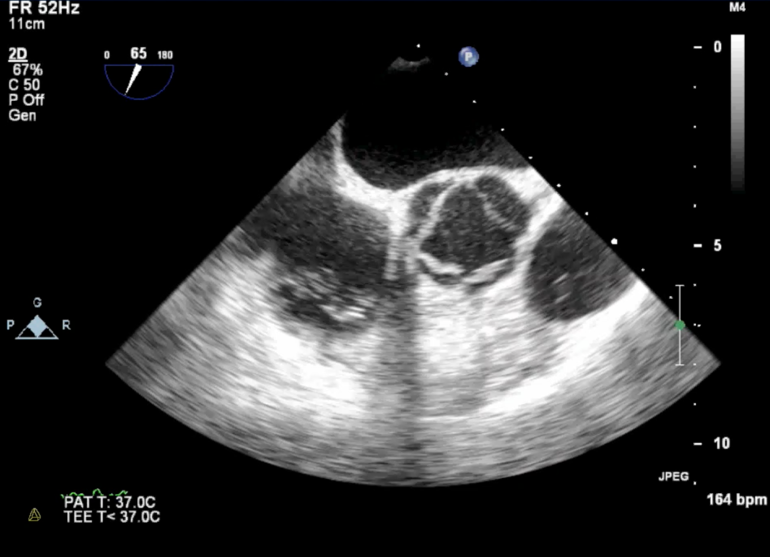
Trans-oesophageal echocardiograms
More detail images of the heart can be achieved using a trans-oesophageal echo probe. This entails the patient swallowing a fine probe (usually after receiving intra-venous sedation) which then sits in the oesophagus while images are recorded. In this case an unusual abnormality of the aortic valve is seen.
